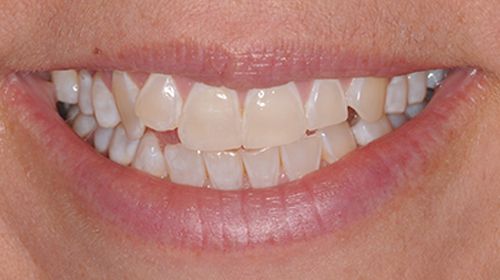
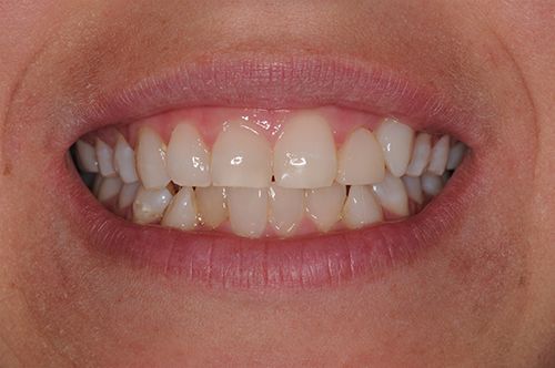
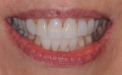
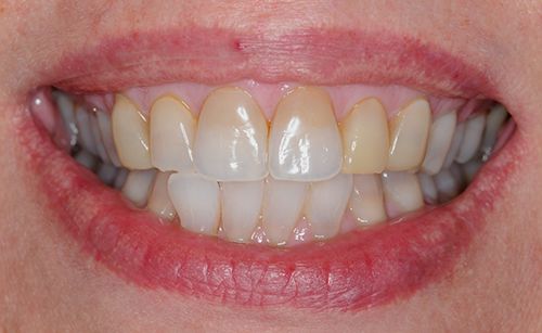
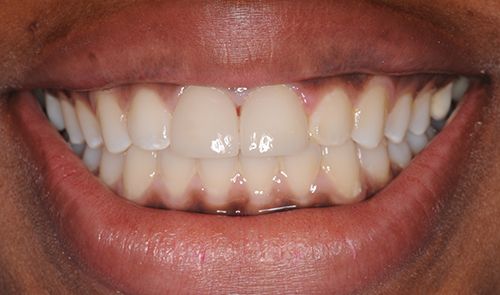
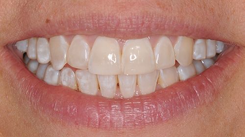
Before and After


Select a Location
Monday 9:00 a.m. – 5:00 p.m.
Tuesday 9:00 a.m. – 5:00 p.m.
Wednesday 12:30 p.m. – 6:30 p.m.
Thursday 9:00 a.m. – 5:00 p.m.
Friday By Appointment Only